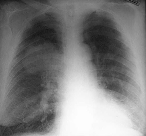
Click on the bronchogenic carcinoma in the chest radiograph above:

This chest radiograph demonstrates a large squamous cell carcinoma of the right upper lobe.