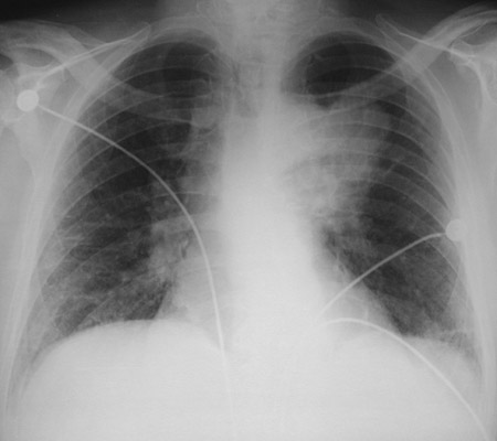
| The hilar mass seen here is a squamous cell carcinoma of the left upper lobe of lung. This is a form of bronchogenic carcinoma. Squamous cell carcinomas and small cell anaplastic carcinomas have the greatest association with smoking as a risk. Squamous cell carcinomas tend to form large, central masses because they often arise in larger airways. |
![]() |