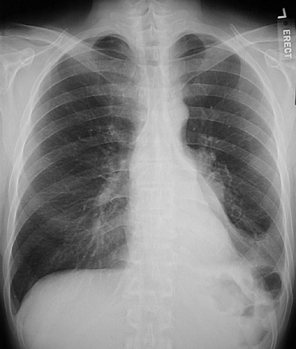
This PA chest radiograph reveals atelectasis of the left lower lobe to the left of the heart border. The mediastinum and heart are shifted slightly to the left. There was a squamous cell carcinoma at the hilum.