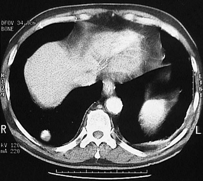
| This chest CT scan a "soft tissue window" density reveals a small rounded mass with bright calcification near the base of the right lung. This is a pulmonary hamartoma. These uncommon benign tumors have cartilage, vessels, and epithelial elements. Some have calcifications as well. |
![]() |