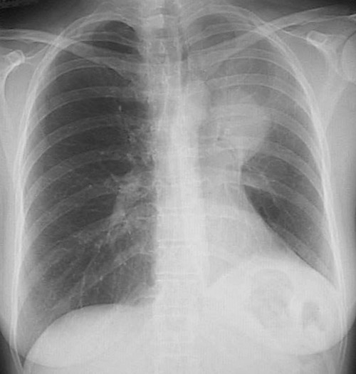
![]() | The chest radiograph shown here demonstrates a carcinoma at the left hilum in the upper lobe that has caused post-obstructive atelectasis (with mediastinal shift to the left) and a lipid pneumonia, marked by haziness and infiltrates distal to the mass. |
![]() |