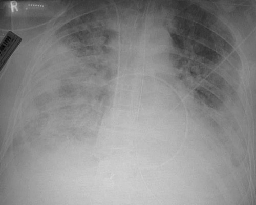
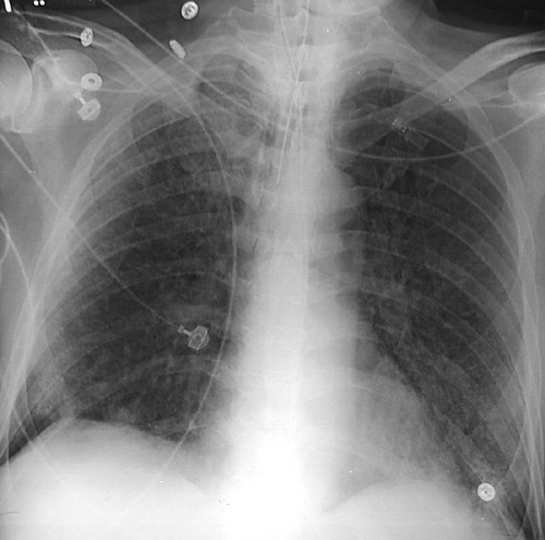
![]() | The portable AP chest radiograph above reveals diffuse small opacifications in all lung fields in a patient who was developing diffuse alveolar damage (DAD) over the past few days. The radiograph below demonstrates the worsening opacifications that are nearly confluent three weeks later at a more advanced stage of DAD. |
![]() |