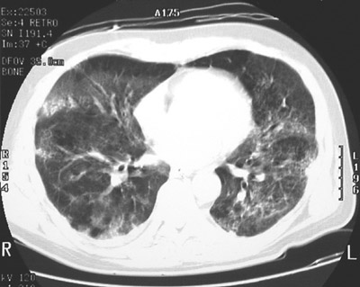
The chest CT scan shown here with the "lung window" setting reveals extensive bilateral ground glass opacifications of the lungs consistent with diffuse alveolar damage (DAD).