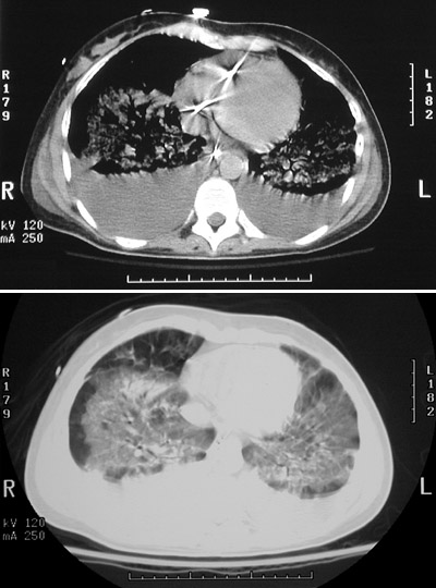
| Here is a chest CT scan of a patient with multiple organ failure syndrome in the intensive care unit. One component of this syndrome is pulmonary diffuse alveolar damage with opacifications in all lung fields, seen best in the soft tissue window setting in the lower panel. The upper panel in lung window setting reveals the opacifications as well as prominent posterior effusions. (A Swan Ganz catheter traversing the right heart is scattering the x-rays to produce the star-shaped areas of brightness in the upper panel.) |
![]() |