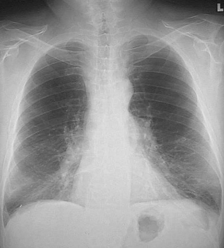
This chest radiograph seen demonstrates
greater lucency
in the upper lobes, along with
flattening of the diaphragmatic leaves
, consistent with centrilobular emphysema.