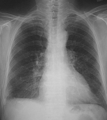
The chest radiograph seen here demonstrates increased interstitial markings with an irregular architecture, along with flattening of the diaphragmatic leaves, consistent with centrilobular emphysema.