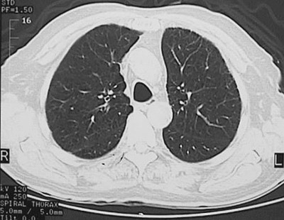
The CT scan of the chest seen here with a "lung window" reveals an increase in lung markings with lucencies consistent with centrilobular emphysema.