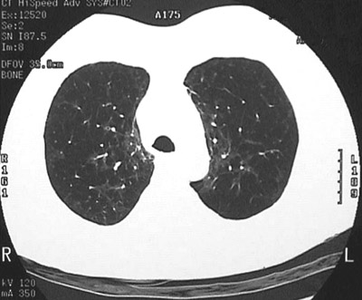
This chest CT scan reveals loculated lucencies in the upper lobes, consistent with centrilobular emphysema.