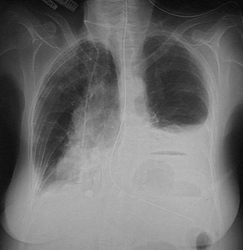
![]() | This radiograph demonstrates fluid in the left pleural cavity. This pleural effusion could result from a transudate (serous effusion) or from hemorrhage (hemothorax), or serous fluid tinged with blood (serosanguinous effusion). This effusion could be chylous (which is quite rare). A purulent exudate at this location may be termed empyema. An air-fluid level is seen in the stomach below the dome of the left diaphragmatic leaf. |
![]() |