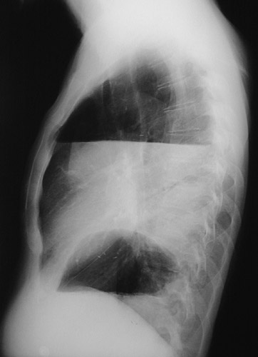
The chest radiograph here in lateral view demonstrates a large pleural effusion postoperatively following a left pneumonectomy.