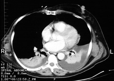
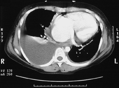
| The chest CT scan here demonstrates a large right pleural effusion. This pleural effusion resulted from right heart failure as a consequence of rheumatic mitral stenosis with chronic pulmonary congestion and subsequent hypertension. Note the enlargement of the right atrium and the right ventricle. Note also that this large effusion has produced atelectasis of the right lower lobe, characterized by a small dense crescent. In the example below, there are smaller bilateral pleural effusions, but the atelectasis is bilateral in lower lobes. |
![]() |