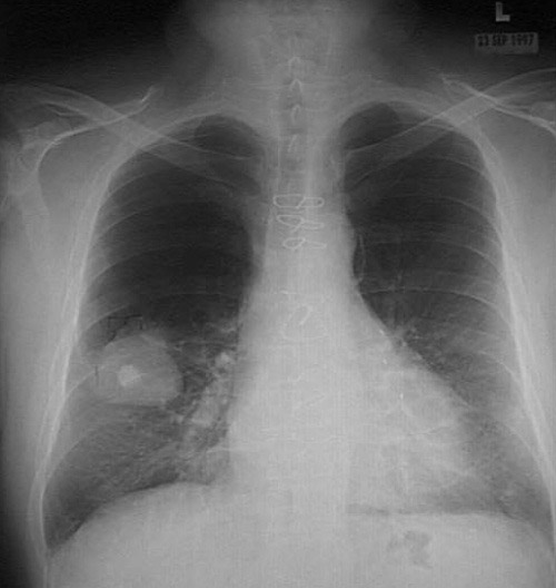
Click on the bronchogenic carcinoma in the chest radiograph above:

This chest radiograph demonstrates a large 5 cm diameter squamous cell carcinoma of the right lower lobe. The 1.5 cm bright opacity in the middle of the mass is a calcified granuloma that was seen on lateral view to be behind the neoplasm. Additional calcified granulomatous areas are medial to the mass. The sternal wire loops are from a previous coronary artery bypass procedure.