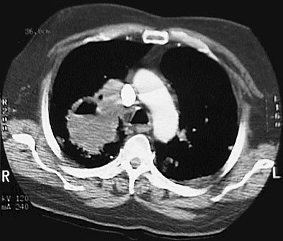
Click on the bronchogenic carcinoma in the CT scan above:

This chest CT scan demonstrates a large squamous cell carcinoma of the right upper lobe that extends around the right main bronchus and also invades into the mediastinum and involves hilar lymph nodes.