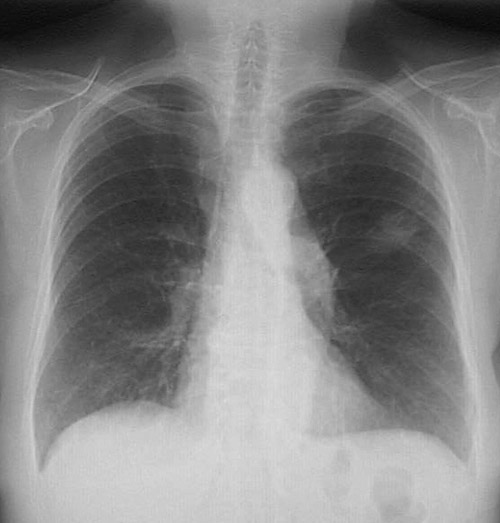
A peripheral adenocarcinoma of the lung appears in this chest radiograph of an elderly woman. She was a non-smoker. Lung cancers in non-smokers are rare, but if they occur, they are likely to be adenocarcinomas.