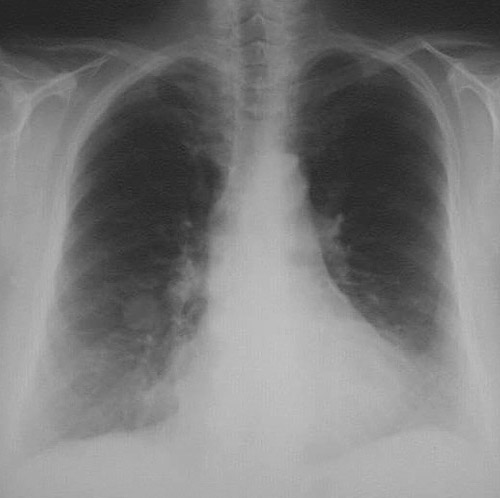
| Here is another PA chest radiograph with a very discrete, rounded "coin lesion" in the right lower lobe of the lung. This is a pulmonary hamartoma, an uncommon neoplasm that is composed of benign tissue elements such as cartilage, respiratory epithelium, and blood vessels that normally occur in lung. There may be calcifications. |
![]() |