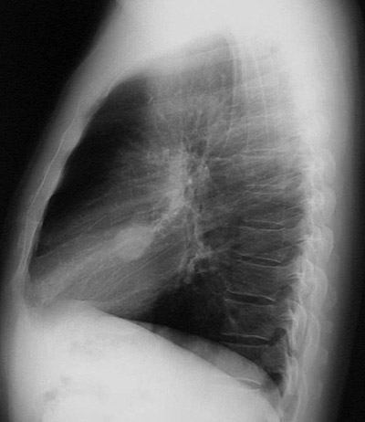
The lateral chest radiograph shown here demonstrates a discrete "coin lesion" that did not greatly increase in size over time and proved to be a pulmonary hamartoma.