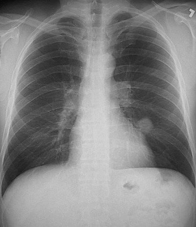
Click on the hamartoma in the chest radiograph above:

The PA chest radiograph seen here demonstrates a discrete "coin lesion" that did not greatly increase in size over time. A wedge resection was performed, and the mass proved to be a pulmonary hamartoma.