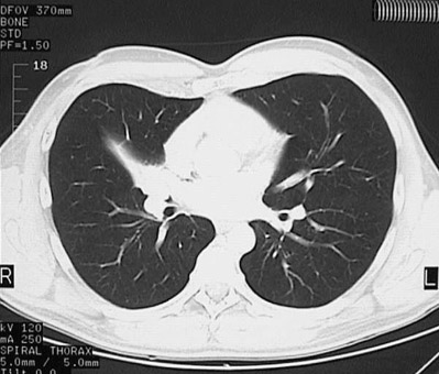
This chest CT scan with "lung window" demonstrates the same bronchial carcinoid tumor that is causing obstruction with atelectasis of the right middle lobe.