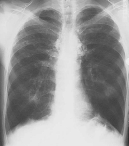
This chest radiograph demonstrates an silicotic nodules of varying sizes scattered throughout the lung, resulting in an interstitial lung disease.