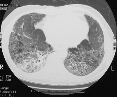
| In this chest CT scan in the "lung window" mode can be seen very prominent interstitial markings, particularly in the posterior lung bases. There are also smaller lucent areas that represent honeycomb change, a characteristic feature of usual interstitial pneumonitis (UIP), an idiopathic and progressive restrictive lung disease. Patients develop pulmonary hypertension and cor pulmonale. |
![]() |