 |
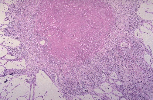
A silicotic nodule in lung is seen here. It is composed mainly of bundles of interlacing pink collagen. There is a minimal inflammatory reaction. The greater the degree of exposure to silica and increasing length of exposure determine the amount of silicotic nodule formation and the degree of restrictive lung disease. Silicosis increases the risk for lung carcinoma only about 2-fold. |