
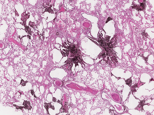
| Anthracotic pigment ordinarily is not fibrogenic, but in massive amounts (as in "black lung disease" in coal miners) a fibrogenic response can be elicited to produce the "coal worker's pneumoconiosis" seen above at very low power. Note the macules, or focal fibrous aggregations with anthracotic pigmentation, within the lungs. The extent of carbonaceous pigment deposition along with collagenous scar is seen in closer view below. [Images courtesy of Dr. Mary Ann Sens, University of North Dakota] |
![]() |