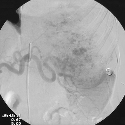
With injection of contrast into the celiac axis from the aorta, the angiographic views above and below demonstrate a vascularized mass involving the spleen. This is an angiosarcoma.