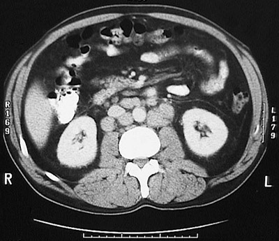
This abdominal CT scan demonstrates prominent periaortic lymphadenopathy involving multiple nodes in a patient with a low grade non-Hodgkin's lymphoma.