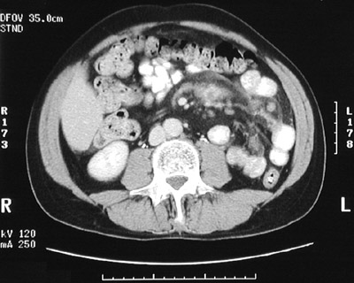
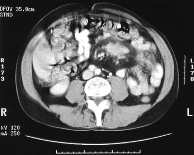
There is a mass composed of enlarged lymph nodes seen in this abdominal CT scan. In the view below, there is a central area of decreased intensity in the mass that corresponds with central caseous necrosis as a result of mycobacterial infection.