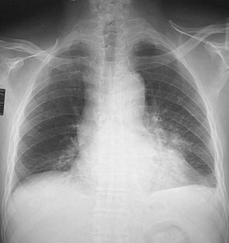
This chest radiograph reveals widening of the mediastinum with prominent right as well as left border because of marked lymphadenopathy in a patient with metastases. The primary (a peripheral adenocarcinoma) is hiding in an infiltrate.