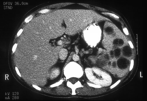
| The enlarged spleen with the rounded areas of lucency seen here in a patient with the acquired immunodeficiency syndrome represent masses of the foamy exudate typical for Pneumocystis carinii (jirovecii). This infection uncommonly disseminates from the lung. |
![]() |