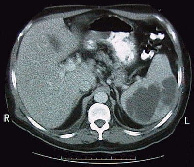
Click on the abscesses in spleen in the CT scan above:

Large lucent abscesses of the enlarged spleen are demonstrated here. These most often occur in the setting of septic embolization.