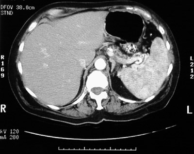
The heterogenous areas of brightness within the normal-sized spleen here are not due to a disease process, but represent an artefact that can be seen with the phase of arterial uptake of contrast material during the CT procedure.