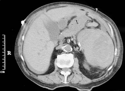
Seen on the left in this abdominal CT scan is an enlarged spleen with irregular intraparenchymal lucent areas representing hematoma formation following blunt trauma to the abdomen.