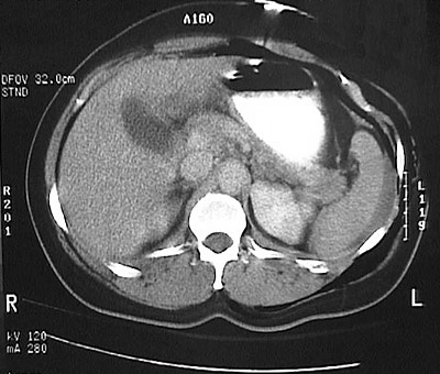
This abdominal CT scan with contrast (filling the stomach) demonstrates a hematoma lateral to a ruptured spleen from blunt force abdominal trauma. The peritoneal lavage yielded bloody fluid, a clue to the diagnosis.