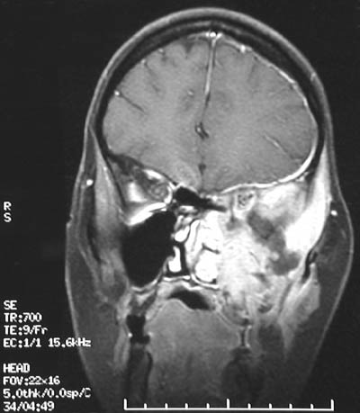
In coronal view, this T2 weighted MRI scan of the head of an adult shows a large infiltrative rhabdomyosarcoma arising in the left maxillary-pterygoid region.