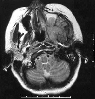
These axial MRI scans of the head of an adult, T2 weighted above and T1 weighted below, demonstrate a large infiltrative mass arising in the left maxillary-pterygoid region. This mass proved to be a
rhabdomyosarcoma
.