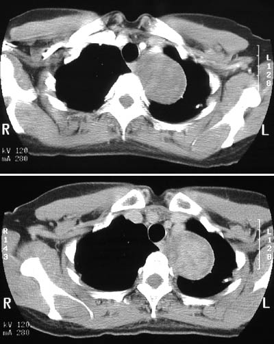
The large mass with discrete borders, seen in these views from a chest CT scan, is arising in the posterior mediastinum and extending into the thoracic inlet. This is a large schwannoma, a neoplasm arising from peripheral nerve sheath.