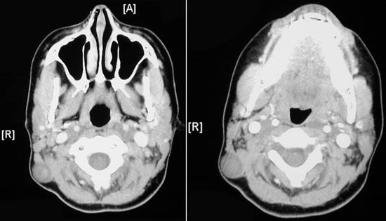
| The subcutaneous masses seen above with a head CT scan at the level of the maxilla and at the level of the jaw are neurofibromas in a patient with neurofibromatosis type I (von Recklinghausen disease). Another neurofibroma appears in the thigh region as seen with MRI scan below (axial T1 on the left; coronal STIR on the right). NF1 is an autosomal dominant condition. Half of cases result from new mutations in the NF-1 gene on chromosome 17 which encodes for a protein that is a negative regulator of the ras oncoprotein. Overactivity of ras leads to neoplasia, specifically development of neurofibromas in nerves and dermis anywhere in the body. |
![]() |