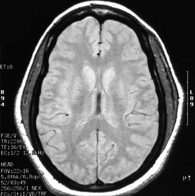
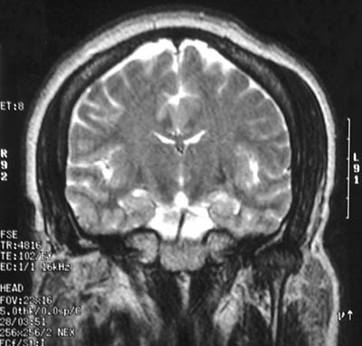
| In the axial FSE proton MRI scan of the head above can be seen marked temporalis muscle hypertrophy, particularly on the left. A coronal T2 weighted view is seen below. The temporalis muscle acts to close the jaw, bringing the mandible upward to the maxilla. Temporomandibular joint problems with difficulty chewing could produce such hypertrophy. Bruxism, which is gnashing, grinding, or clenching one's teeth, perhaps as a result of relatives who came to visit and stayed too long, could produce a similar result. |
![]() |