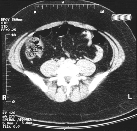
| The patient can hardly fit into the CT scanner to produce this abdominal CT scan. Note the large amount of surrounding adipose tissue with low attenuation. This is morbid obesity, defined as body weight more than 100 pounds (45 kg) over ideal weight. |
![]() |