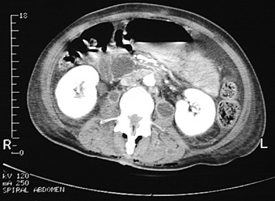
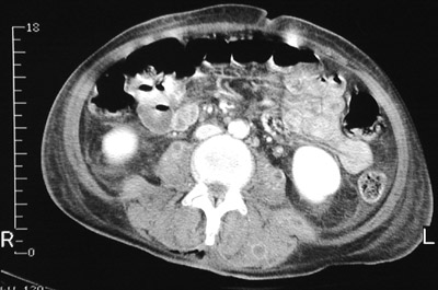
These pelvic CT scan views above and below reveal the presence of both larger abscesses as well as smaller abscesses with ring enhancement seen in paraspinal muscles.