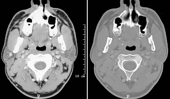
| There is massive lymphadenopathy involving the spinal accessory chain of lymph nodes posterior to the sternocleidomastoid muscle and the parotid gland at the level of the angle of the mandible in this head and neck CT scan in bone and soft tissue windows. A biopsy revealed Hodgkin's disease. |
![]() |