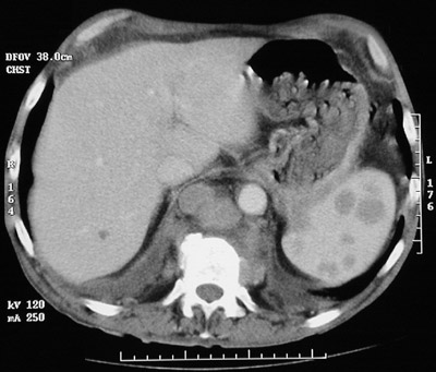
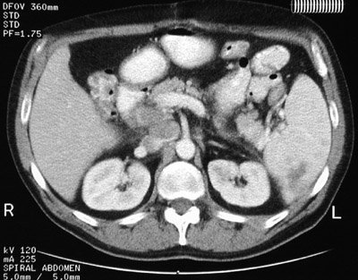
![]() | This abdominal CT scan reveals a larger and several smaller splenic mass lesions representing extranodal involvement by Hodgkin's disease. There is also prominent lymphadenopathy. In the view below from another patient, more prominent splenic involvement by Hodgkin's disease is seen. |
![]() |