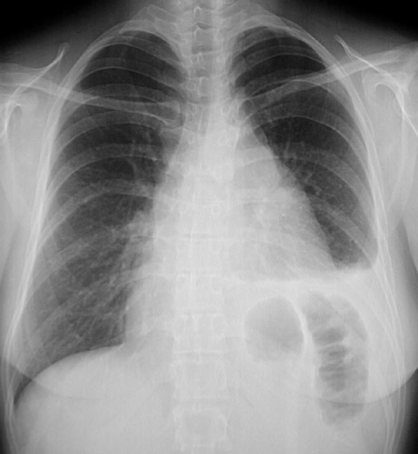
In the PA view of a chest radiograph ahove, there is a large anterior mediastinal mass which proved to be Hodgkin's disease. There is also an elevated left hemidiaphragm from left phrenic nerve invasion by the mass. The lateral view is seen below.