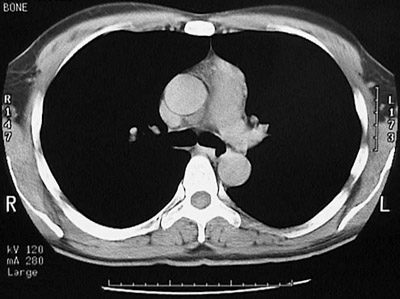
Click on the thymoma in the the chest CT scan above:

Here is a thymoma of the anterior mediastinum seen with this chest CT scan. It is in the anterior mediastinum arising in the left aspect of the thymus anterior and to the left of the aortic arch.