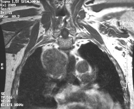
Here in coronal view is a T1 weighted MRI scan of the chest that reveals a large mass of the mediastinum that proved to be a thymoma.