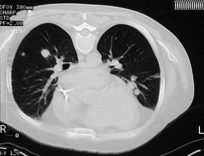
| There are scattered circumscribed nodules involving the lung parencyma in a patient who received an organ transplant. The nodules are seen above with high resolution chest CT scan and below with lung window (and the patient prone). A biopsy showed these lesions to be foci of post-transplantation lymphoproliferative disorder (PTLD). Immunosuppressive therapy creates an environment in which a lymphoid proliferation occurs that can resemble a lymphoma. The lesions often decrease or disappear if immunosuppression is diminished. |
![]() |