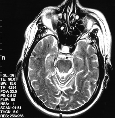
![]() | The FSE T2 weighted MRI scan in axial view above demonstrates bright fluid filling the sella turcica, indicative of an empty sella syndrdome. In the T1 weighted post gadolinium view below the sella appears dark. This peculiar syndrome can lead to hypopituitarism. |
![]() |