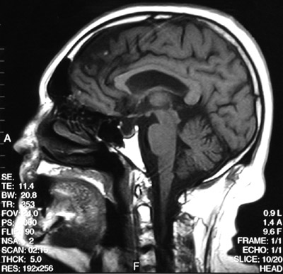
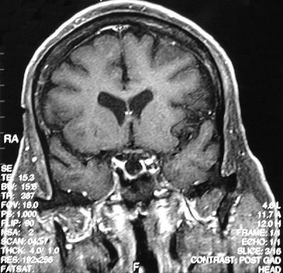
| The T1 weighted MRI scan in sagittal view above demonstrates an empty sella turcica. A T1 weighted post gadolinium coronal view is seen below. Some cases of empty sella syndrome may result from a herniation of the arachnoid through the diaphragma sella to cause pressure atrophy of the pituitary. |
![]() |